Yasemin Turan1, Zehra Kocaağa2, Hikmet Koçyiğit2, Alev Gürgan2, Bayram Korhan2

1Adnan Menderes Üniversitesi, Tıp Fakültesi Hastanesi, Fiziksel Tıp ve Rehabilitasyon Anabilim Dalı, Aydın, Türkiye
2İzmir Atatürk Eğitim ve Araştırma Hastanesi, Fiziksel Tıp ve Rehabilitasyon Kliniği, İzmir, Türkiye

Keywords: Spondyloarthropathy, gout, psoriatic arthritis

Abstract

We present a 60-year-old male patient who had concurrent psoriatic spondyloarthropathy and gout, which has not been reported in the literature previously. In this paper, the clinical and radiological features of both rheumatic diseases are discussed in light of the recent literature. (Turk J Rheumatol 2009; 24: 159-62)

Introduction

Psoriatic spondyloarthropathy (PsSpA) is only seen in 20-40% of the patients and seldom detected at the psoriatic arthritis (PsA) onset; it generally emerges in late periods of the disease. The involvement of the sacroiliac joints and the cervico-thoraco-lumbar spine seen in PsSpA may resemble ankylosing spondylitis (AS)[1,2]. Gout is a monosodium urate monohydrate crystal depot disease. High serum uric acid levels are required for crystal formation[3]. Although several cases of coexisting PsA and gout have been described in the literature[4-11], PsSpA and gout coexistence was not previously reported.

In this paper, we present the clinical and radiological features of a case that was diagnosed as PsSpA and gout.

Case Report

A 60-year-old male presented to our clinic with neck and low back pain. It was ascertained that the patient was diagnosed as psoriasis at 13 years of age as a result of the biopsy obtained from the white squamous lesions that appeared on his hairy skin. The patient stated that he received topical treatment for the disease and did not experience an additional problem until he was 30, when he started to feel pain on his front chest wall, neck, and low back (with restriction in low back movements), swelling of the 2nd, 3rd, 4th, and 5th fingers of both hands, night pain, and morning stiffness lasting 1-2 hours. He was prescribed non-steroidal anti-inflammatory drugs (NSAID). With his ongoing NSAID treatment, at the age of 38, he suffered from ankle swelling, severe pain, temperature rise, and functional loss resulting in a diagnosis of gout based on the examinations (monosodium urate monohydrate (MSUM) crystals were identified under compensated polarizing light in the synovial fluid (SF) of the ankle). The patient indicated that he suffered from gout attacks on both ankles and metatarsophalangeal (MTP) joints many times during the next stage with progressively frequent intervals. He also stated that he underwent colchicine therapy throughout the periods of gout attacks, providing improvement in the complaints. When the medical history and the family background of the patient were investigated, the patient was found to have been receiving antihypertensive drugs for four years and he had first-degree relatives with a diagnosis of psoriasis and gout. Additionally, he had been drinking alcohol excessively for two years. Symptoms had been partially relieved with the NSAID and colchicine treatment.

Physical examination of the patient revealed intense psoriatic lesions on the hairy skin and pitting and striations on the nails of both hands. Pain and erythema of the right 1st MTP were detected. No pain, sensitivity, joint movement limitation or gouty arthritis was detected in the other peripheral joints. Enthesopathic points were not sensitive to palpation. The chin to manubrium sterni distance was measured as 7 cm, occiput to wall distance as 11 cm, chest expansion as 2 cm, hand to floor distance as 4.5 cm, dorsal Schober as 1 cm, and the modified lumbar Schober as 4 cm. No extraarticular involvement was detected.

Laboratory tests demonstrated a normal total blood count, C-reactive protein (CRP) and erythrocyte sedimentation rate (ESR). Serum urea and creatinine levels were in normal ranges, but uric acid was 10.9 mg/dl (normal range: 2.6-7.6). There was no proteinuria in 24-h urine specimen. Daily uric acid excretion was detected as 900 mg. Rheumatoid factor and HLA-B27 tests were negative.

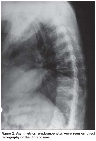
Anterior longitudinal ligament calcification, fusion of multiple facet joints and atypical syndesmophytes were found on cervical spine X-rays (Figure 1) and coarse, asymmetrical syndesmophytes were seen on thoracic (Figure 2) and lumbar spine (Figure 3) X-rays. No abnormalities suggesting PsA or gout were seen on hand and foot radiographs. The magnetic resonance imaging (MRI) of the sacroiliac joint and computerized tomography (CT) of atlanto-axial joint were normal.

These examinations supported the coexistence of PsSpA and gout in the patient. Physical modalities were applied to the cervical, dorsal and lumbar regions and an exercise program was also administered. A moderate increase was observed in the ranges of movement of the neck along with a decrease in neck and low back pain. While the patient was under our care, several gout attacks were observed on the first MTP joint and the diet of the patient in the intercritical period was regulated; a daily 1 mg/day colchicine and 300 mg/day allopurinol were added to his medications and a follow-up was initiated. Oral sulfasalazine (2 g/day) was then added to his treatment.

Discussion

Several cases with coexisting PsA and gout have been reported in the literature[4-11]. Among the cases, whereas concomitant PsA, gout and chondrocalcinosis was described by De Bari and colleagues[6], only concomitant PsA and gout were evident in the others. To our knowledge, our case with coexisting PSpA and gout is the first such report in the literature.

PsSpA is observed in 5% of the PsA patients and may be clinically confused with AS[12]. The clinical characteristics of our case also resembled AS. An inflammatory type of low back pain was present and chest expansion was 2 cm. X-rays revealed a predominance of axial involvement. However, a normal sacroiliac joint MRI and lack of a typical syndesmophyte appearance made the AS diagnosis unlikely.

In the study conducted by Queiro and colleagues, the incidence of sacroiliitis was reported to be 44% in PsSpA patients. They also pointed out that sacroiliitis was less common in HLA-B27-negative PsSpA patients compared to HLA-B27-positive patients[13]. In accordance with this finding, the HLA-B27 of our patient was also negative and no bilateral sacroiliitis was detected.

Another striking radiologic finding in our patient was that cervical spine involvement was on the foreground. Queiro et al. reported the cervical spine involvement in HLA-B27- negative PsSpA patients to be 51%[13]. Cervical spine involvement in PsA is known to be seen more commonly in patients presenting with psoriatic lesions on hairy skin[12]. The majority of skin lesions were localized on the hairy skin in our patient. Radiographic abnormalities are not sufficiently sensitive and specific for the diagnosis of gout. Only 45% of patients with gout manifest radiographic bone changes, and then only six to eight years after the initial attack. The radiographic hallmarks of gout are normal mineralization, joint space preservation, sharply marginated erosions with sclerotic borders, overhanging edges, and asymmetric polyarticular distribution[14]. Radiologic evaluation of our patient did not reveal any of these images.

Laboratory examination of our patient showed acute phase reactants in normal ranges. Our patient was assessed to be in the intercritical period; however, he had a history of acute gouty attacks. Acute phase reactants may be within ‘normal range’ during the intercritical period[14]. Rajendran and his colleagues reported that ESR and CRP might be in normal ranges, although PsA is an inflammatory arthritis[2]. HLA-B27 was negative in our patient. In a research conducted by Queiro, HLA-B27 positivity in PsSpA patients was demonstrated to be 34%[13]. The presence of MSUM crystals in SF is the gold standard for the diagnosis of gout. The elevation in uric acid level is a significant laboratory finding for the diagnosis of gout[14]. Our patient’s uric acid level was high and MSUM crystals were detected previously in the SF of the ankle.

Temperature increase, erythema, and sensitivity on the right and first MTP joint were observed during the physical examination of our patient. These findings were also present on both ankles. A diagnosis of gout had been made previously because of the crystal identification in the SF and due to the response to the colchicine therapy. Our patient was in the intercritical period of gout disease. The first joint affected by gout is known to be the first MTP joint, at a rate of 60%[15].

We believe this case report is of significance because it is the first to demonstrate coexistence of PsSpA and gout. Even though these cases are extremely rare, the possibility of this coexistence should be kept in mind.

Conflict of Interest
No conflict of interest is declared by authors.

References

  1. Gladman DD, Rahman P. Psoriatic arthritis. In: Ruddy S, Harris ED, Sledge CB (eds). Kelley’s Textbook of Rheumatology 6th edition. Philadelphia: W. B. Saunders Company 2001: 1071-9.
  2. Rajendran CP, Ledge SG, Rani KP, Madhavan R. Psoriatic arthritis. J Assoc Physicians India 2003; 51: 1065-8.
  3. Simkin PA. The pathogenesis of podagra. Ann Intern Med 1977; 86: 230-3.
  4. Pascual E, Ordóñez S. Orderly arrayed deposit of urate crystals in gout suggest epitaxial formation. Ann Rheum Dis 1998; 57: 255.
  5. Leonard DG, O’Duffy JD, Rogers RS. Prospective analysis of psoriatic arthritis in patients hospitalized for psoriasis. Mayo Clin Proc 1978; 53: 511-8.
  6. De Bari C, Lapadula G, Cantatore FP. Coexisting psoriatic arthritis, gout, and chondrocalcinosis. Scand J Rheumatol 1998; 27: 306-9.
  7. Venkatasubramaniam KV, Bluhm GB, Riddle JM. Psoriatic arthropathy and crystal-induced synovitis. J Rheumatol 1980; 7: 213-7.
  8. Koh WH, Seah A, Chai P. Clinical presentation and disease associations of gout: a hospital-based study of 100 patients in Singapore. Ann Acad Med Singapore 1998; 27: 7-10.
  9. Golov KG, Ivanov OL, Balkarov IM. Clinical significance of hyperuricemia in psoriasis. Klin Med Mosk 1994; 72: 34-6.
  10. Cho S, Koh GJ, Choi JH, Sung KJ, Moon KC, Koh JK. Chronic tophaceous gout presenting as hyperpigmented nodules in the limbs of a patient with coexisting psoriasis. J Dermatol 2001; 28: 433-6.
  11. Vanhooteghem O, Andre J, Pochet JM. Occurrence of gouty tophi following acitretin therapy. Clin Exp Dermatol 1998; 23: 274-6.
  12. Brockbank J, Gladman D. Diagnosis and management of psoriatic arthritis. Drugs 2002; 62: 2447-57.
  13. Queiro R, Sarasqueta C, Belzunegui J, Gonzalez C, Figueroa M, Torre-Alonso JC. Psoriatic spondyloarthropathy: a comparative study between HLA-B27 positive and HLA-B27 negative disease. Semin Arthritis Rheum 2002; 6: 413-8.
  14. Brower AC, Flemming DJ. Gout. In: Arthritis: In Black and White 2nd ed. Philadelphia, PA: WB Saunders, 1997; 325-41.
  15. Zurek M. Pathogenesis, diagnostics and therapy of gout. Vnitr Lek 2006; 52: 736-41.