Temporomandibular joint disorder in rheumatoid arthritis: A cross-sectional ultrasonographic study
Elif Becenen Durmuş
, Fatma Gül Yurdakul
, Tuba Güler
, Hatice Bodur
Department of Physical Medicine and Rehabilitation, Ankara City Hospital, Ankara, Türkiye
Keywords: Diagnostic imaging, rheumatoid arthritis, temporomandibular joint dysfunction, temporomandibular joint, ultrasonography.
Abstract
Objectives: This study aims to investigate temporomandibular joint (TMJ) involvement and dysfunction in patients with rheumatoid arthritis (RA) clinically and ultrasonographically (USG).
Patients and methods: Between May 2021 and November 2021, a total of 51 patients with RA (16 males, 35 females; mean age: 53.0±10.4 years; range, 18 to 65 years) and 51 age- and sex-matched healthy controls (16 males, 35 females; mean age: 51.3±6.9 years; range, 18 to 65 years) were recruited. The Diagnostic Criteria for Temporomandibular Disorders (DC/TMD) form was applied to both groups. Pain intensity for both TMJs was measured with the Visual Analog Scale (VAS). The Health Assessment Questionnaire (HAQ) was used to measure the functional capacities. Disease activity of patients with RA was evaluated with the Disease Activity Score-28 (DAS28). All participants included in the study underwent TMJ USG examination.
Results: According to the DC/TMD diagnostic decision tree, pain disorder was detected in 22 (43.1%) patients with RA and 12 (23.5%) in the healthy control group. Joint disorder was diagnosed in 14 (27.5%) of the RA patients and five (9.8%) of the healthy control group. Since the disc thickness was found to be significantly higher in patients with TMJ pain disorders in our USG evaluations, we performed receiver operating characteristic (ROC) analysis to determine the diagnostic cut-off value. As a result of ROC analysis, we determined the disc thickness cut-off value as 1.55 mm for the diagnosis of temporomandibular dysfunction (TMD).
Conclusion: These findings support that USG, which is non-invasive, without X-ray exposure, applied from a single source and easily accessible, is a viable method in the diagnosis of TMD.
Introduction
Rheumatoid arthritis (RA) is described as a chronic autoimmune disease with systemic manifestations, the pathogenesis of which is still not fully understood, often manifested by inflammation of the synovial joints and tendon sheaths which start polyarticularly. It is seen at a rate of 0.5 to 1% in the overall population and is a cause of serious disability and financial burden for a person and society, if left untreated timely.[1]
Temporomandibular dysfunction (TMD) is used to describe any disorder caused by the jaw joint, head and neck muscles and surrounding soft tissues. As can be seen between 3 and 15% in the general population, its prevalence is increasing in those with malocclusion and tooth loss, those showing bruxism symptoms and those with rheumatic diseases such as RA and psoriatic arthritis (PsA).[2]
The rate of temporomandibular joint (TMJ) involvement in patients with RA has been found in a wide range (5 to 86%) in studies. The involvement of TMJ is critical, as it causes pain during functional activities such as chewing, swallowing and speaking, and limits activities of daily living (ADLs). The most common symptoms of TMD are orofacial pain, TMJ sounds, limited range of mandibular movement, change in occlusion. Earache, headache, neuralgia, and tooth pain may also be present as TMD-related symptoms. In some studies, it has been shown by radiological methods that TMJ is involved without any symptoms. Its involvement can also be masked with anti-rheumatic treatment. There are no established guidelines for the treatment and rehabilitation of these joints.[3,4]
Although basic clinical examination is the main approach to the diagnosis of TMD, radiological methods are needed to confirm the diagnosis and rule out differential diagnoses. While computed tomography (CT) is often used for bone erosions, fractures and osteoarthritis, magnetic resonance imaging (MRI) is considered the gold-standard imaging for soft tissues such as the joint disc and the anatomical position of the disc in most studies. Ultrasonography (USG) has recently gained importance in terms of both studies and patient evaluation in TMJ imaging due to reasons such as being non-invasive, having no X-ray exposure, being cost-effective, allowing real-time examination and performing clinical and radiological examination from a single source.[5]
In the literature, studies have been conducted to compare the sensitivity and specificity of USG and MRI in patients diagnosed with TMD and to identify the role of USG in the diagnosis of TMD. However, to the best of our knowledge, there is no USG study in the literature for the diagnosis of TMD in RA patients.[6] In the present study, we, therefore, aimed to investigate TMJ involvement and dysfunction in patients with RA clinically and ultrasonographically.
Patients and Methods
This single-center, cross-sectional, casecontrol study was conducted at Ankara City Hospital Physical Therapy and Rehabilitation Hospital, Department of Physical Medicine and Rehabilitation between May 2021 and November 2021. Patients with RA and age- and sex-matched healthy controls were included in this study. Inclusion criteria for the study group were as follows: age between 18 and 65 years, having good cognitive functions, and having a diagnosis of RA according to the 2010 American College of Rheumatology/European Alliance of Associations for Rheumatology (ACR/EULAR) diagnostic criteria.[7] Exclusion criteria were as follows: having a trauma or surgery history of TMJ, head and neck radiotherapy, malignancy history, bisphosphonate use, pregnancy, malocclusion, receiving treatment for TMD, having orthodontic treatment in the past year, a history of TMJ injection in the past year, having tooth or gum disease, having a history of trigeminal neuralgia and/or facial nerve paralysis, having an additional rheumatological disease other than RA (for RA patient group), those with any rheumatological disease (for healthy controls). Finally, a total of 51 patients with RA (16 males, 35 females; mean age: 53.0±10.4 years; range, 18 to 65 years) who met the inclusion criteria and 51 ageand sex-matched healthy controls (16 males, 35 females; mean age: 51.3±6.9 years; range, 18 to 65 years) were recruited (Figure 1). A written informed consent was obtained from each participant. The study protocol was approved by the University of Health Sciences, Ankara City Hospital Clinical Research Ethics Committee (date: 21.04.2021, no: E2-21-408). The study was conducted in accordance with the principles of the Declaration of Helsinki.
Data including age, sex, occupation, educational status, body mass index (BMI), cigarette use, comorbidities, RA disease duration, and laboratory parameters such as C-reactive protein (CRP), erythrocyte sedimentation rate (ESR), rheumatoid factor (RF), and anti-cyclic citrullinated peptide (anti-CCP) values of the patients were recorded.
The Diagnostic Criteria for Temporomandibular Disorders (DC/TMD) form was applied to both groups.[8,9] Pain severity was measured with Visual Analog Scale (VAS) for both TMJs.[10] To measure the functional capacities of the two groups participating in the study, the Health Assessment Questionnaire (HAQ) was used.[11] The disease activity of patients with RA was evaluated with the Disease Activity Score-28 (DAS28).[12]
Clinical evaluation with DC/TMD form
The DC/TMD form is a biaxial evaluation system and Axis I is the form in which the physical dimension of the disease such as pain disorders, joint disorders are considered, the examination findings are recorded, measurements are made by the physician. Axis II is a pain symptom form which evaluates the psychosocial dimension of the disease.
All patients were questioned about the TMJ, intra-ear and front, muscle or joint pain felt in the temple area, whether there was a headache involving the temporal region, the duration of the pain, its relationship with jaw movements and parafunctional activities, the level of influence on ADLs, and the VAS score was recorded for TMJ pain. During the past month, TMJ sounds triggered by jaw movements (clicks or crepitation), whether the jaw joint is locked when it was open or closed, the condition of opening if locked, and the restriction which developed after, were questioned and the symptoms of diagnostic criteria were evaluated.
Mouth opening movements were measured as painless opening, maximum unaided opening and maximum assisted opening. In painless opening, the patient was asked to open his mouth until he had pain, while in maximum unaided opening, the patient was asked to open his mouth as much as he could, despite the pain, the distance between the anterior upper and lower incisal teeth was measured with the help of a ruler and recorded in millimeters. In maximum assisted opening, after the patient opened his mouth to the maximum, the index finger of the passive hand of the physician applied light force to the lower incisors, and the thumb to the upper incisors, the same distance was measured and recorded. During the examination, the inability to open the mouth more than the restricted opening position or to close it more than the current open state was recorded as joint locking. In the final evaluation of Axis I, all regions of the bilateral temporal and masseter muscles of the patients, TMJ, submandibular, posterior mandibular regions and the external pterygoid area were palpated and the pain status was recorded as present or absent. As a result of all the answers given to the Axis I assessment form, all the examinations and measurements performed, patients were classified according to pain disorder and joint disorder using the DC/TMD Diagnostic Decision Tree form.
The questions evaluating the patients' limitation in ADLs due to pain, depression, pain-related and non-pain-related somatization disorder were recorded in the Axis II questionnaire form.
Ultrasonography evaluation
The sonographic examination of all participants included in the study was performed using a LOGIQ 9 (GE Healthcare, IL, USA) brand USG device and a high frequency 7 to 12 Mhz linear probe. The USG evaluations were performed by a single researcher who is experienced in musculoskeletal ultrasonography and was blinded to the results of the DC/TMD form.
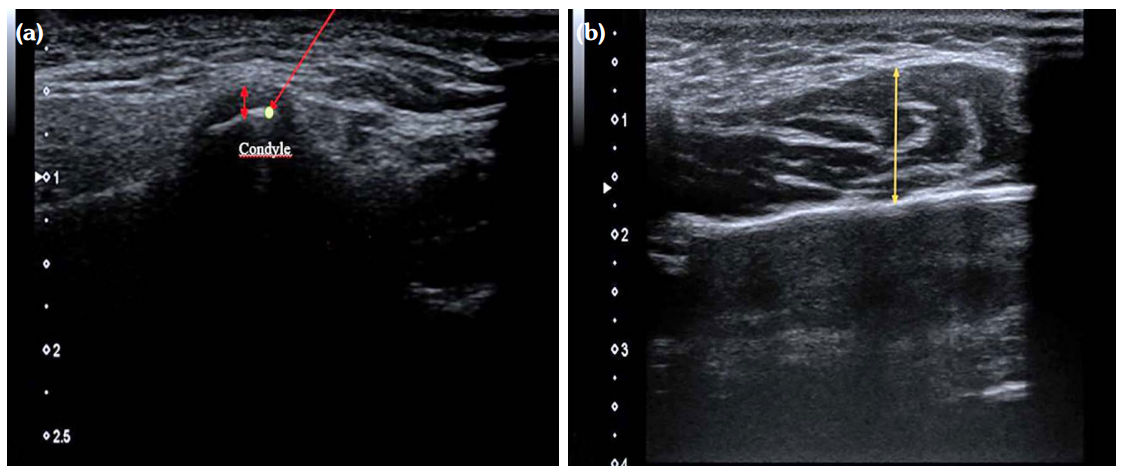
The probe was placed on the TMJ parallel to the long axis of the mandible in an upright sitting position, with their heads free. For both right and left TMJ with the mouth closed; between the condyle and the fossa; a hypoechogenic thin band-shaped area was measured and noted as a disc gap (Figure 2a).
After the thickest place of the muscle was determined by palpating both the right and left masseter muscles, the probe was placed transversely, the mouth was closed and anteroposterior measurement was performed without compression with the probe from the thickest part of the muscle while the muscle was at rest (Figure 2b).
During the USG examination, the effusion displayed as a hypoechoic area in the joint cavity on bilateral TMJ, irregularity on the bone surface, the presence of osteophytes, which are seen as hyperechoic new bone formations with exophytic extension, were evaluated and recorded on the examination form as present or absent. In the TMJ evaluation, flattening and irregularity in bone structures were noted as temporal bone or condyle degeneration.
Statistical analysis
The study power analysis and sample size calculation were performed using the G*Power version 3.1.9.4 software (Heinrich-HeineUniversität Düsseldorf, Düsseldorf, Germany). Accordingly, minimum 51 study patients and 51 healthy controls were required (n=102) to reach a study power of 0.80.
Statistical analysis was performed using the IBM SPSS for Windows version 23.0 software (IBM Corp., Armonk, NY, USA). Continuous data were expressed in mean ± standard deviation (SD) or median (min-max), while categorical data were expressed in number and frequency. The Kolmogorov-Smirnov test was used to determine whether the numerical data were distributed normally. To investigate the distribution of discrete variables between groups, the chi-square or Fisher exact test was used to examine the distribution of continuous variables. Continuous variables were compared using the Student t-test or the Mann-Whitney U test, while more than two groups were compared using the one-way analysis of variance (ANOVA) or the Kruskal-Wallis test. The receiver operating characteristic (ROC) curve was drawn and the predictive values of right and left disc thicknesses and cut-off values were calculated in the diagnosis of TMD. A p value of <0.05 was considered statistically significant at 95% confidence interval (CI).
Results
Of a total of 102 participants included in the study, 51 were RA patients and 51 were healthy controls. There was no significant difference between the groups in terms of age, sex, and BMI (p>0.05). Based on the HAQ results, the functional capacity of the RA group was significantly restricted compared to the control group (p<0.001). According to the DAS28 results, nine patients (17.6%) were in remission, 13 (25.5%) had low disease activity, 24 (47%) had moderate disease activity, and five (9.9%) had severe disease activity. Demographic, clinical and laboratory findings of patients with RA and the control group are summarized in Table 1.
Table 2 summarizes the results of the TMJ clinical evaluation and the distribution of TMD subdiagnosis groups. According to the DC/TMD diagnostic decision tree, 43% of RA patients and 23.5% of healthy control group were diagnosed with pain disorder, there was a statistically significant difference between the groups (p=0.036). Joint disorder was significantly higher in RA than of healthy control group (27.5% vs. 9.8%, respectively). There was no significant difference between RA and the control group in maximum unaided and assisted opening. The mean painless mouth opening was measured as 41.80±8.46 mm in patients with RA and 45.84±5.63 mm in healthy control group and significantly decreased in patients with RA (p=0.007).
In Table 3, which shows the results of the USG evaluation of the TMJ, the disc thickness of patients with RA was higher compared to the healthy control group (p<0.001). Effusion in the right and left TMJ was seen in 7.8% of RA patients. This rate was found to be significantly higher compared to the control group (p=0.169 and p=0.041). In other parameters, there was no statistically significant difference between patients with RA and the healthy controls (p>0.05). In the RA group with temporal bone degeneration, unilateral involvement was detected in one (2%) patient and bilateral involvement was detected in three (5.9%) patient. In the control group, only one (2%) patient had bilateral involvement (p=0.351). Condyle degeneration was detected in the RA group with bilateral involvement only in one (2%) patient. There was also bilateral involvement in one (2%) patient in the control group (p=0.752). Effusion of TMJ was detected as unilateral in four (7.8%) patients and bilateral in two (3.9%) patients in the RA group. In the control group, unilateral involvement was detected in one (2%) patient (p=0.131). Unilateral involvement was detected in three (5.9%) patients in the RA group with TMJ osteophyte. Unilateral involvement was detected in one (2%) patient in the control group (p=0.309).
At the next step, the results and relationships of USG and clinical subdiagnosis groups were analyzed. Table 4 summarizes the results of USG evaluation in DC/TMD subdiagnosis groups in patients with RA. In patients with pain disorder or TMJ disorder, the presence of temporal bone degeneration, condyle degeneration, effusion and osteophyte in both groups in USG examination was found to be statistically significantly higher (p≤0.001).
The right and left disc thicknesses were significantly higher in the RA group compared to the control group (p<0.001). Therefore, the predictive value of disk thickness measurements in the diagnosis of TMD was examined and ROC analysis was performed. The mean area under the ROC curve (AUC) was 0.690±0.058 for the right disc thickness (p=0.002) and 0.678±0.058 for the left disc thickness (p=0.002). The best Youden index for the right disc thickness was 0.27, while the cut-off value was found to be 1.55 mm (sensitivity 53% and specificity 74%). The best Youden index for the left disc thickness was 0.27, while the cut-off value was found to be 1.55 mm (sensitivity 56% and specificity 71%).
The relationship between demographic and clinical data for disc thicknesses was examined using the correlation analysis. A significant relationship was found only with the presence of RA (r=0.726 and 0.539, p≤0.001). There was no relationship between age, duration of illness, smoking, BMI, DAS28, HAQ, CRP, and ESR values and disc thickness. The relationship of disc thickness measurements with demographic and clinical characteristics is summarized in Table 5.
Discussion
Although TMJ involvement is frequent in patients with RA, it can be ignored as its clinical significance is not decently defined.[4,13] In this study, TMJ was evaluated clinically and ultrasonographically in patients with RA and healthy population. The role of USG in diagnosis and related factors were evaluated. Accordingly, TMD was more common in patients with RA than in the healthy population. In clinical evaluations, TMJ pain was more frequent in patients with RA and the measurement of painless oral opening was limited. In the evaluation with USG, the TMJ disc thickness and the effusion rate were higher in RA patients. In statistical analysis, disc thicknesses were higher in patients with pain disorders. The ROC analysis revealed that the disc thickness had a predictive value in the diagnosis of TMD and the cut-off value was 1.55 mm.
In the literature, there are quite a few studies in which patients were evaluated using the DC/TMD diagnostic decision tree. In our study, according to these criteria, TMD was diagnosed in 47.1% of RA patients and 25.5% of healthy controls. Bracco et al.[13] evaluated 40 patients with RA based on the same criteria, and 82.5% of the patients were diagnosed with TMD. In their study, there was no control group, and the disease activity and disease duration were not mentioned. In the study of Ozcan et al.,[14] 28 RA patients with TMJ symptoms were evaluated and TMJ involvement was reported as 65.1%. The involvement of TMJ was found to be 76.7% with MRI. In their study, all patients were symptomatic. We believe that the high rate is due to selection of symptomatic patients. The number of studies including healthy control group are also low. In Kroese et al.’s study,[15] in which 150 participants were included, TMD involvement in 150 early RA was reported as 40%. We found this rate to be 47% in the current study. Unlike our study, the cases were selected from the early RA group. The authors reported the rate of TMD as 28% in healthy controls, similar to our control group (25.5%).
The main strength of our study is that it is the first study to use DC/TMD and USG simultaneously in the diagnosis of TMD, in patients with RA and a healthy population. In many of the studies, disease activity has not been evaluated in patients with RA. Although there was no relationship between disc thickness and disease duration, disease activity and CRP values in our study, we believe that evaluating on disease activity is of utmost importance for the comparability of study results.
Measurements of the oral opening are objective methods of evaluation of TMD. In our study, measurements of painless mouth opening, maximum assisted and unassisted mouth opening were evaluated, and in patients with RA, these measurements were more limited than in the healthy controls; however, a statistically significant difference was found only in painless opening. In Helenius et al.’s[16] study on various rheumatic diseases, maximum mouth opening measurements were compared in 24 patients with RA and the control group, and these measurements were more limited in the RA group. In our study, pain disorder was detected in 43.1% of the patients with TMD and 27.5% had joint disorder (11.8% reduced disc displacement, 5.9% non-reduced disc displacement, 9.8% degenerative joint disease).
It has been reported that that contrastenhanced MRI is considered the best technique for imaging active arthritis in the TMJ owing to its ability to detect acute inflammatory processes in soft tissue.[17] Regarding TMJ, 100 studies comparing the sensitivity and specificity of MRI and USG in the diagnosis of degenerative changes, joint effusion and disc displacement,[18] USG was shown to be an alternative method to MRI with an accuracy rate of up to 95% in detecting effusion. In the study of El-Melegy et al.,[19] in which 20 patients with RA were included, the patients TMJ was evaluated clinically and functionally with the Fonesca’s questionnaire. The USG, MRI and X-ray were used in the radiological evaluation of TMJ. According to El-Melegy et al.,[19] MRI (80%) was the most optimal modality in detection of TMJ erosions and the USG (57.5%) was significantly better than panorama X-ray (27.5%), TMJ effusion was similarly detected by the MRI (67.5%) and USG (62.5%). The frequency of disc displacement was similarly detected by MRI (57.7%) and USG (52.5%). The detection of TMJ abnormalities tended to be higher by MRI than by USG yet with no significant difference between both modalities. We preferred USG in our study for reasons that USG is non-invasive, cost-effective, real-time examination, clinical and radiological examination by a single person.
In the study of Tonni et al.,[20] joint effusion was evaluated by USG in eight juvenile idiopathic arthritis (JIA) children with 14 TMJs involved, as confirmed by MRI, and in a control group of seven healthy children without temporomandibular disorders. Of note, USG can detect differences in the TMJ features between JIA patients and healthy patients and it may be used as a follow-up tool in the assessment of TMJ involvement in patients affected by JIA.
In the present study, bilateral disc thicknesses in patients with RA were found to be 1.69±0.44 and 1.67±0.45 when evaluated in the closed mouth position, and the disc thicknesses were found to be higher compared to the control group. In RA, TMJ is involved as other synovial joints. We believe that the disc thickness was greater due to effusion and the widening of the joint space. To the best of our knowledge, there is no study measuring disc thickness in patients with RA. de Mello Junior et al.[21] found the disc thickness to be between respectively right and left; 1.2 and 1.6 in their study in healthy population with no symptoms of TMD. These values are similar to the control group values of our study, respectively right and left; 1.24 and 1.29.
Disc thickness had no relationship with age, sex, disease duration, BMI, smoking, DAS28, HAQ, CRP, and ESR values. The diagnosis of RA was the only factor affecting the disc thickness. Lin et al.,[3]in their study of 56 patients with RA, could not find a relationship between TMJ involvement and disease duration, swollen joints number, RF, CRP, and ESR values. They reported that the only risk factor was hand joint narrowing in radiographs. Bono et al.[22] evaluated TMJ involvement by clinical examination and CT in the 100 RA patients and 22 healthy subjects; they could not establish a relationship between TMD and DAS28 level, ESR values, and HAQ score.
Due to the fact that the disc thickness was found to be significantly higher in patients with TMJ pain disorder in USG evaluations, we performed a ROC analysis. The result of the ROC analysis, we determined the threshold value for the diagnosis of TMD to be 1.55 mm. The AUC was found to be 0.690 and 0.678 (for the right and left disc thicknesses, respectively). The sensitivity for both right and left disc thickness was higher than 50% and the specificity was higher than 70%.
The main limitation to this study is the lack of imaging comparisons. Magnetic resonance imaging is considered the gold standard for examining TMJ involvement. The results would have been more convincing, if we had compared ultrasound data with CT or MRI in a cohort of RA patients and drawn conclusions about the advantages of ultrasound. However, in practice, MRI and CT examinations are time-consuming to perform. Moreover, MRI and CT can be costly for many patients.
In conclusion, our study is the first study to compare RA patients and healthy population using DC/TMD diagnostic criteria and USG simultaneously in the diagnosis of TMD in the literature. In the USG evaluation of patients with RA, the disc thickness increases in patients with RA with clinical signs, indicating a predictive value in the USG evaluation of TMJ. Based on these findings, USG seems to be a viable method for the diagnosis of TMD in patients with RA, and disc thickness has a predictive importance. Further large-scale, prospective studies are needed to confirm these findings.
Citation: Becenen Durmuş E, Yurdakul FG, Güler T, Bodur H. Temporomandibular joint disorder in rheumatoid arthritis: A crosssectional ultrasonographic study. Arch Rheumatol 2025;40(1):42-52. doi: 10.46497/ ArchRheumatol.2025.11086.
Conceptualization: E.B.D., H.B.; Data acquisition and review of the literature: E.B.D.; Interpretations: E.B.D., F.G.Y., H.B.; Writing-review and editing, final approval: E.B.D., F.G.Y., T.G., H.B.
The authors declared no conflicts of interest with respect to the authorship and/or publication of this article.
The authors received no financial support for the research and/or authorship of this article.
The data that support the findings of this study are available from the corresponding author upon reasonable request.
References
- Pekdiker M, Oğuzman H. The first involved joints and associated factors in patients with rheumatoid arthritis. Arch Rheumatol 2024;39:274-84. doi:10.46497/ArchRheumatol.2024.10417.
- Ingawalé S, Goswami T. Temporomandibular joint: Disorders, treatments, and biomechanics. Ann Biomed Eng 2009;37:976-96. doi: 10.1007/s10439- 009-9659-4.
- Lin YC, Hsu ML, Yang JS, Liang TH, Chou SL, Lin HY. Temporomandibular joint disorders in patients with rheumatoid arthritis. J Chin Med Assoc 2007;70:527-34. doi: 10.1016/S1726-4901(08)
- Guarda Nardini L. TMD classification and epidemiology. In: Manfredini D, editor. Current concepts on temporomandibular disorders. Berlin: Quintessenz Verlags-GmbH; 2010. p. 25-41.
- Schmidt WA. Ultrasound in rheumatology. Int J Rheum Dis 2014;17:711-5. doi: 10.1111/1756- 185X.12545.
- Baba IA, Najmuddin M, Shah AF, Yousuf A. TMJ imaging: a review. IJCMR 2016;3:2253-6. doi: 10.5772/intechopen.1004930.
- Kay J, Upchurch KS. ACR/EULAR 2010 rheumatoid arthritis classification criteria. Rheumatology (Oxford) 2012;51 Suppl 6:vi5-9. doi: 10.1093/rheumatology/ kes279.
- Polat S, Tülin Polat N, Çetinoğlu A, Saleh SM, Unal S, Yolcu Ü, et al. Diagnostic criteria for temporomandibular disorders: Assessment instruments (Turkish). 2016. Available at: www.rdc-tmdinternational.org.
- Dworkin SF, LeResche L. Research diagnostic criteria for temporomandibular disorders: Review, criteria, examinations and specifications, critique. J Craniomandib Disord 1992;6:301-55.
- Price DD, McGrath PA, Rafii A, Buckingham B. The validation of visual analogue scales as ratio scale measures for chronic and experimental pain. Pain 1983;17:45-56. doi: 10.1016/0304- 3959(83)90126-4.
- Küçükdeveci AA, Sahin H, Ataman S, Griffiths B, Tennant A. Issues in cross-cultural validity: Example from the adaptation, reliability, and validity testing of a Turkish version of the Stanford Health Assessment Questionnaire. Arthritis Rheum 2004;51:14-9. doi: 10.1002/art.20091.
- Wells G, Becker JC, Teng J, Dougados M, Schiff M, Smolen J, et al. Validation of the 28-joint Disease Activity Score (DAS28) and European League Against Rheumatism response criteria based on C-reactive protein against disease progression in patients with rheumatoid arthritis, and comparison with the DAS28 based on erythrocyte sedimentation rate. Ann Rheum Dis 2009;68:954-60. doi: 10.1136/ ard.2007.084459.
- Bracco P, Debernardi C, Piancino MG, Cirigliano MF, Salvetti G, Bazzichi L, et al. Evaluation of the stomatognathic system in patients with rheumatoid arthritis according to the research diagnostic criteria for temporomandibular disorders. Cranio 2010;28:181-6. doi: 10.1179/crn.2010.025.
- Ozcan I, Ozcan KM, Keskin D, Bahar S, Boyacigil S, Dere H. Temporomandibular joint involvement in rheumatoid arthritis: Correlation of clinical, laboratory and magnetic resonance imaging findings. B-ENT 2008;4:19-24.
- Kroese JM, Volgenant CMC, Crielaard W, Loos B, van Schaardenburg D, Visscher CM, et al. Temporomandibular disorders in patients with early rheumatoid arthritis and at-risk individuals in the Dutch population: A cross-sectional study. RMD Open 2021;7:e001485. doi: 10.1136/ rmdopen-2020-001485.
- Helenius LM, Hallikainen D, Helenius I, Meurman JH, Könönen M, Leirisalo-Repo M, et al. Clinical and radiographic findings of the temporomandibular joint in patients with various rheumatic diseases. A case-control study. Oral Surg Oral Med Oral Pathol Oral Radiol Endod 2005;99:455-63. doi: 10.1016/j. tripleo.2004.06.079.
- Schmidt C, Ertel T, Arbogast M, Hügle B, Kalle TV, Neff A, et al. The diagnosis and treatment of rheumatoid and juvenile idiopathic arthritis of the temporomandibular joint. Dtsch Arztebl Int 2022;119:47-54. doi: 10.3238/arztebl.m2021.0388.
- Jank S, Emshoff R, Norer B, Missmann M, Nicasi A, Strobl H, et al. Diagnostic quality of dynamic high-resolution ultrasonography of the TMJ--a pilot study. Int J Oral Maxillofac Surg 2005;34:132-7. doi: 10.1016/j.ijom.2004.03.014.
- EL-Melegy DN, El-Khouly RM, El-Din Mwafi ME, El-Hafeez Zyton HA. Magnetic resonance imaging versus musculoskeletal ultrasound in the evaluation of temporomandibular joint in rheumatoid arthritis patients. Egyptian Rheumatol 2017;39:207-211. doi. 10.1016/j.ejr.2017.04.007.
- Tonni I, Borghesi A, Tonesi S, Fossati G, Ricci F, Visconti L. An ultrasound protocol for temporomandibular joint in juvenile idiopathic arthritis: A pilot study. Dentomaxillofac Radiol 2021;50:20200399. doi: 10.1259/dmfr.20200399.
- de Mello Junior CF, de Cassio Saito O, Guimarães Filho HA. Sonographic evaluation of temporomandibular joint internal disorders. Radiol Bras 2011;44:355-9. doi. 10.1590/S0100-39842011000600005.
- Bono AE, Learreta JA, Rodriguez G, Marcos JC. Stomatognathic system involvement in rheumatoid arthritis patients. Cranio 2014;32:31-7. doi: 10.1179/0886963413Z.0000000003.