The reliability of Juvenile Arthritis Magnetic Resonance Imaging Scoring system in the evaluation of the shoulder joint in juvenile idiopathic arthritis
Murugan Sudhakar1
, Shivani Deswal1
, Namrita Sachdev2
, Somdipa Pal1
, Tribhuvan Pal Yadav1
1Department of Pediatrics, Atal Bihari Vajpayee Institute of Medical Sciences and Dr. Ram Manohar Lohia Hospital, New Delhi, India
2Department of Radiodiagnosis, Atal Bihari Vajpayee Institute of Medical Sciences and Dr. Ram Manohar Lohia Hospital, New Delhi, India
Keywords: Clinical examination, juvenile idiopathic arthritis, magnetic resonance imaging, shoulder joint.
Abstract
Objectives: We aimed to evaluate shoulder joint by magnetic resonance imaging (MRI) using the Juvenile Arthritis Magnetic Resonance Imaging Scoring (JAMRIS) system in children with juvenile idiopathic arthritis (JIA) and to compare clinical, laboratory parameters and disease activity scores with MRI parameters.
Patients and methods: A total of 32 shoulder joints of 20 patients (16 males, 4 females; mean age: 8.9±3.5 years; range, 2.5 to 14 years) with a known diagnosis of JIA and a clinical suspicion of shoulder joint involvement and underwent MRI were included. Reliability was determined by inter- and intra-observer correlation coefficients. Correlation of the clinical and laboratory parameters with JAMRIS scores was done using the non-parametric tests. Sensitivity of clinical examination to detect shoulder joint arthritis was also determined.
Results: Of the 32 joints, 27 joints in 17 patients showed MRI changes. Seven joints in five patients fulfilled the definition of clinical arthritis, all revealed MRI changes. In 25 joints without clinical arthritis, early and late MRI changes were seen in 19 (67%) and 12 (48%) joints, respectively. The inter- and intra-observer correlation coefficients for JAMRIS system were excellent. No correlation was found between MRI parameters, clinical, laboratory, and disease activity scores. The sensitivity of clinical examination to detect shoulder joint arthritis was 25.9%.
Conclusion: The JAMRIS system is reliable and reproducible to determine shoulder joint inflammation in JIA. Detection of shoulder joint arthritis by clinical examination has a poor sensitivity
Introduction
Juvenile idiopathic arthritis (JIA) is the most common rheumatic disease in children, and can involve any joint. At the onset, shoulder joint is involved in fewer than 5% of JIA patients.[1,2] However, as the disease duration increases, shoulder joint involvement is seen in about 21% of patients.[1,2] The main goal of therapy in JIA is complete suppression of systemic inflammation or inflammation of joints or enthesis to prevent destructive changes.[3] Current techniques of clinical examination may underestimate significant joint inflammation, particularly in deeply situated joints such as shoulder joint, and underrecognition of synovitis may lead to delayed diagnosis and treatment or suboptimal therapy.[4-9]
Contrast-enhanced magnetic resonance imaging (MRI) is the most sensitive technique for detecting early (synovial hypertrophy and bone marrow edema [BME]), as well as late (cartilage erosions and bone lesions) changes of joint inflammation and damage.[3,10] In adults, an MRI scoring system has been developed and validated for the wrist joint, called the Rheumatoid Arthritis Magnetic Resonance Imaging Scoring (RAMRIS) system.[11] A similar scoring system called Juvenile Arthritis Magnetic Resonance Imaging Scoring (JAMRIS) system has been studied in the wrist and knee joints of children with JIA.[3,12] However, it has not been evaluated in any other joint in JIA. Therefore, in this pilot study, we primarily aimed to evaluate shoulder joint by MRI using the JAMRIS system in children with JIA and to secondarily compare clinical, laboratory parameters and disease activity scores with MRI parameters.
Patients and Methods
This single-center, cross-sectional, observational study was conducted at the Pediatric Rheumatology Division of the Department of Pediatrics of Atal Bihari Vajpayee Institute of Medical Sciences and Dr. Ram Manohar Lohia Hospital, New Delhi, India between November 2014 to March 2016. A total of 32 shoulder joints of 20 patients (16 males, 4 females; mean age: 8.9±3.5 years; range, 2.5 to 14 years) with a known diagnosis of JIA and a clinical suspicion of shoulder joint involvement and underwent MRI were included. In the absence of a previously available study on shoulder joint evaluation by JAMRIS system, a sample size could not be calculated. Patients with a history of intra-articular corticosteroid injection within the last six months, patients with a cardiac pacemaker, cochlear implants, hypersensitivity to contrast agents, and patients with hemodynamic instability were excluded.
Clinically arthritis was defined as swelling within a joint or limitation in the range of joint movement with joint pain or tenderness.[13] Clinical suspicion of the shoulder joint involvement was based on the presence of any one of the following features: swelling, limitation of range of motion, pain, or tenderness of shoulder joint. Diagnosis of JIA was based on the International League of Associations for Rheumatology (ILAR) revised criteria.[13]
Data collection
All children (32 shoulder joints) with JIA underwent a clinical examination to assess for shoulder joint arthritis as per the defining clinical criteria (presence of swelling or limitation of range of motion with either pain or tenderness).[13] The following clinical data were recorded: (i) number of active joints; (ii) physician’s global assessment of disease activity measured on a Visual Analog Scale of 10, where 0 indicates no disease activity and 10 maximum disease activity; (iii) patient/parent’s assessment of overall wellbeing measured on a scale of 10, where 0 indicates very good and 10 indicating very poor; (iv) Visual Analog Scale (VAS) for pain on a 10 cm line, where 0 indicates no pain and 10 worst pain ever experienced.
Laboratory tests included erythrocyte sedimentation rate (ESR) determined by the Westergren method on an automated machine- Alifax Spa Padova-Italy and C-reactive protein (CRP) measured by enzyme-linked immunosorbent assay.
The Juvenile Arthritis Disease Activity Score for 27 joints (JADAS-27) was determined for disease activity assessment (range 0-57). The disease status at the time of analysis was evaluated using the Wallace criteria for clinical remission that included active and inactive disease and were compared with MRI findings.[14]
MRI protocol and scoring system
The MRI was performed on a 1.5-Tesla MRI system (Magnetom Symphony, Siemens, Erlangen Germany). Sedation, if required (oral triclofos [30 mg/kg/dose]; or intravenous midazolam [0.05-0.1 mg/kg/dose]), was given according to the standard guidelines. Intravenous contrast, gadolinium-diethylene triamine pentaacetic acid (0.1 mmoL/kg body weight) was given after taking consent. The sequences taken were: (i) axial T1 and T2 fat-suppressed (FS); (ii) coronal oblique T1 and T2 FS; (iii) sagittal oblique T1 and T2 FS; (iv) post-contrast T1 axial coronal and sagittal FS images.
The JAMRIS system described by Hemke et al.,[4] for MRI evaluation of knee joints were used in our study for shoulder joint evaluation. The four components of MRI scoring included two early changes and two late destructive changes of joint inflammation. The two early inflammatory MRI changes were synovial hypertrophy (measured as maximal synovial thickness) and BME (measured as percentage involvement of bone volume). Grades of synovial hypertrophy were Grade 0: 0-2 mm; Grade I: ≥2-4 mm; Grade II: >4 mm and grades of BME were Grade 0: none; Grade I :< 10%; Grade II: ≥10-25%; Grade III: ≥25% involvement of bone volume. The two late destructive MRI findings were cartilage lesions (measured as percentage involvement of cartilage surface area) and bone erosions (percentage involvement of bones at the articular end). Cartilage lesions were graded using a scale of 0-3 (Grade 0: None, Grade I: <10%, Grade II: ≥10-25%, Grade III: ≥25%) and bone erosions were graded between 0-3 (Grade 0: none; Grade I: <10%; Grade II: ≥10-25%, and Grade III: ≥25%).
In addition, the presence or absence of synovial effusion on MRI was also noted. Joint effusion was seen as hyperintensity adjacent to synovium on post-contrast T1-weighted images.
Reliability study
Intra-observer and inter-observer correlation coefficients were determined to study the reproducibility and reliability of each MRI component. Intra-observer reliability was evaluated on the MRI films of five patients by a single researcher a week apart. The MRI films were evaluated for JAMRIS system by two observers 4 h apart to evaluate the inter-observer reliability.
Statistical analysis
Statistical analysis was performed using the IBM SPSS program for Windows version 23.0 software (IBM Corp., Armonk, NY, USA). Continuous variables were presented in mean ± standard deviation (SD) or median (min-max), while categorical variables were presented in number and frequency. Categorical variables were analyzed using either the chi-square test or Fisher exact test. Intra-observer and inter-observer correlation coefficients were calculated with 95% confidence interval (CI). Spearman correlation was performed for various clinical and laboratory parameters with MRI findings. Non-parametric analysis was done using the Mann-Whitney U test. Sensitivity, specificity, positive predictive value (PPV), and negative predictive value (NPV) of clinical examination compared to MRI in detecting shoulder joint arthritis were determined. A p value of <0.05 was considered statistically significant.
Results
Thirteen (65%) patients were in the 11 to 15 years age group, five (25%) were below 10 years, and two (10%) were aged >15 years. Eleven (55%) children had systemic JIA (sJIA), six (30%) had enthesitis-related arthritis (ERA), and three (15%) had undifferentiated JIA (Supplemental Table 1). Only four patients fulfilled the Wallace criteria of inactive disease (clinical remission with medications). At enrolment, the patients were on methotrexate (100%), prednisolone (60%), sulfasalazine (30%), tocilizumab (10%), thalidomide (5%), and leflunomide (5%).
Table 1 summarizes the clinical, laboratory, and disease activity parameters of the study subjects. Shoulder joint swelling was not found in any of the enrolled patients. Tenderness was observed in 11 patients (16 joints-Grade I: 13 and Grade II: 3 joints). Restriction of movement was observed in five patients (8 joints-Grade I restriction was seen in seven joints and Grade II restriction was observed in one joint). Only seven of 32 clinically evaluated joints (21.8%) in five patients had both tenderness and restriction of motion, thus fulfilling the defining criteria of clinical arthritis, and the rest 25/32 joints (78.1%) did not.
The imaging results of JAMRIS system analyzed in all the 32 joints (20 patients) pooled together and, in each JIA, subsets were as follows:
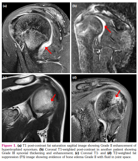
a) Synovial hypertrophy score: Thirteen (40.6%) joints in nine patients revealed synovial hypertrophy with a mean grade score of 0.7±0.9 (Figure 1 a, b). Five joints had Grade I and eight joints had Grade II synovial hypertrophy (Figure 2a). The number of joints with synovial hypertrophy in sJIA, ERA, and undifferentiated JIA were seven (53.8%), four (30.7%), and two (15.3%) joints, respectively.
b) BME score: Twenty-one (65.6%) joints in 13 patients revealed BME with a mean grade score of 1.1±1.0 (Figure 1c, d). The number of joints which had Grade I, II and III BME scores were 11, seven, and three, respectively (Figure 2a). The number of joints with BME in sJIA, ERA, and undifferentiated JIA was 13 (61.9%), five (23.8%), and three (14.2%) joints, respectively. Of these 21 joints, only two joints revealed BME with no other findings and the rest 19 joints showed synovial effusion or one or the other MRI parameter of joint inflammation. There was no statistically significant difference in the occurrence of BME in sJIA subset versus the rest of the JIA subsets (p=0.823).
c) Cartilage lesion score: Nine (28.1%) joints in six patients showed cartilage lesions with a mean score of 0.3±0.6 (Figure 3a-d). Seven of these joints had Grade I and II joints had Grade II cartilage lesions (Figure 2a). The number of joints with cartilage lesions in sJIA and undifferentiated JIA were six (66.6%) and three (33.3%), respectively.
d) Bone erosion score: Bone erosions were seen in 15 (46.8%) joints in nine patients with a mean score of 0.6±0.8 (Figure 3e, f). Eleven joints had Grade I, three had Grade II, and one joint had Grade III bone erosion score (Figure 2a). The number of joints with bone erosions in sJIA, ERA, and undifferentiated JIA were 11 (73.3%), three (20%), and one (6.7%) joint, respectively.
Of the 32 imaged shoulder joints in 20 patients, 27 joints in 17 patients showed MRI findings (all the four MRI findings were seen in one joint; three findings in 10 joints; two and one finding in eight joints each; Figure 2b. Five joints had no MRI findings. Both synovial hypertrophy and BME were seen in 9/32 (28.1%) joints (Figure 2b), whereas both cartilage lesions and bone erosions (late changes) were seen in five joints (15.6%) (Figure 2b).
MRI parameters in patients who fulfilled the clinical definition of arthritis
All the seven joints (5 patients) that fulfilled the defining criteria of clinical arthritis showed MRI changes of joint inflammation and all of them revealed late destructive changes of cartilage lesions or bone erosions.
MRI parameters in patients who did not fulfil the clinical definition of arthritis
In the remaining 25 joints (15 patients) that had no clinical arthritis, early MRI findings were seen in eight joints (7 patients, 46.6%); late finding in one joint (1 patient, 6.6%) and both early and late changes were seen in 11 joints (7 patients, 46.6%). In other words, 19 joints (76%) revealed early MRI findings and 12 (48%) joints showed late MRI changes.
Also, MRI revealed significant joint effusion in 9/32 (28.1%) joints in six patients (Figure 4a, b). Eight of these nine joints had ≥1 JAMRIS component of MRI finding (Supplemental Table 1). Six of these nine joints had synovial hypertrophy (Grade I- 1 joint, and Grade II- 5 joints). Four joints each showed cartilage lesions and bone erosions, respectively. Bone marrow edema was seen in seven joints. It was also noted that six (66%) of the nine joints (4 patients) that had effusion did not fulfil the definition of clinical arthritis.
Clinical examination revealed a sensitivity of 25.9% to detect shoulder joint arthritis compared to MRI. The specificity and PPV both were 100%. However, the NPV was only 20%.
Correlation coefficient was determined between the JAMRIS parameters and various clinical, laboratory and JADAS-27 scores. A mild positive correlation was found between the number of active joints and MRI synovial hypertrophy score (rs=0.430, p=0.058); parent’s assessment of overall wellbeing of the child with BME score (rs=0.357, p=0.122); VAS for pain with BME score (rs=0.343, p=0.139); however, these were not statistically significant (Table 2). Furthermore, there was no significant correlation between duration of disease, tenderness score, restriction of range of motion score, physician global assessment of disease activity, patient assessment of overall wellbeing, JADAS-27, levels of ESR, and CRP with any of the JAMRIS score parameters (Table 2).
Four patients had inactive disease as per Wallace criteria at the time of imaging. Three of these four (75%) patients showed MRI findings (synovial hypertrophy: n=2 joints; cartilage lesions: n=1 joint; and bone erosions: n=1 joint). Sixteen patients had active disease as per Wallace criteria; and 15 patients of these (93.7%) had MRI findings of early/late changes. Five joints showed one MRI finding; four joints each showed two and three MRI findings; one joint had all four MRI findings; and one joint revealed only joint effusion on MRI (Supplemental Table 1). There was no correlation between Wallace active/inactive disease state and various MRI findings observed in our study (Table 2).
sJIA versus other subsets of JIA
Clinical and laboratory parameters of patients with sJIA (n=11) were compared with the rest of the subsets of JIA patients compiled together (n=9) and are summarized in Table 3. Patients with sJIA had a young age at onset of symptoms compared to patients in other subsets of JIA (median age: eight years vs. 11 years, p=0.001). Both sJIA and other JIA subset groups were comparable in the median number of joints involved (six vs. seven joints, p=0.295); median duration of disease at the time of analysis (three vs. two years, p=0.456); and core set outcome variables (Table 3). Inflammatory markers (ESR, and CRP) levels were also comparable in both groups. Number of patients with synovial hypertrophy (five vs. three patients, p=0.67); cartilage lesions (four vs. two patients, p=0.642); bone erosions (six vs. three patients, p=0.406); and BME (eight vs. five patients, p=0.642) were not significantly different in patients with sJIA and patients in other subsets of JIA.
Reliability and reproducibility of JAMRIS System in shoulder joint
Reliability and reproducibility were judged by determining inter- and intra-observer correlation coefficients for each MRI component. Inter-observer correlation coefficient for MRI synovial hypertrophy score and BME score was 1.000 (95% CI: 1.000-1.000); for MRI cartilage lesion score was 0.952 (%95 CI: 0.904-0.976) and for MRI bone erosion score was 0.948 (95% CI: 0.897-0.974). Inter-observer correlation coefficient for all the MRI parameters was 1.000.
Discussion
Juvenile idiopathic arthritis is one of the leading causes of acquired disability in children. Early and effective therapeutic interventions have shown good results in the long-term outcome of JIA.[8,9] Until date, physical examination is considered an essential tool for assessing joint inflammation in daily clinical practice. However, it is not sensitive even in the hands of an experienced clinician.[5,15-17] Conventional radiographs can detect only late destructive changes and not early changes of synovial hypertrophy and BME.[5,18] Ultrasonography (USG) was found to be more sensitive than radiography, but less sensitive than MRI in detecting both soft tissue changes and cartilage loss.[5,7] Moreover, it is limited by its inability to assess the entire joint (peripheral and central aspects) and the difficulty in obtaining reproducible measurements.[5] Hermann et al.[19] in his study compared clinical examination, USG, and MRI in 43 patients of rheumatoid arthritis and found that MRI was superior in detecting synovitis, erosions, as well as tenosynovitis than USG with a significant statistically significant difference.
Magnetic resonance imaging is more sensitive than physical examination, conventional radiography, or USG for evaluating inflammatory and destructive changes in JIA.[20] It is underutilized both in clinical practice and research and only limited studies have used MRI to evaluate joint inflammation in JIA, particularly by JAMRIS.[3,12]
Shoulder joints were evaluated in the present study using the JAMRIS system. Both early and late changes were seen in 27/32 (84.4%) of evaluated shoulder joints (n=15, 60%), compared to clinical examination that diagnosed arthritis only in seven joints using clinical criteria (n=5, 40%). An excellent intra- and inter-observer correlation coefficient were found, indicating that the JAMRIS system is a reliable, reproducible, and valid method for assessing the disease and damage in shoulder joints of children with JIA.
The most common age group in our study was 11 to 15 years, mostly males and majority of the patients were of sJIA. This finding is similar to other descriptive studies reported from India.[21-23]
On clinical examination, none of the 32 evaluated shoulder joints had swelling, whereas nine joints showed significant joint effusion on MRI. In comparison, a study done on MRI evaluation of 10 wrist joints of JIA showed synovial volumes to correlate well with swelling score.[21] This indicates the inadequacy of clinical examination to appreciate swelling in deep joints.
The present study revealed the sensitivity of clinical examination to detect shoulder joint arthritis as only 25.9%. Furthermore, the NPV (i.e., the probability of not having true disease with normal clinical examination) was only 20%, with as much as half of the patients (48%) with no clinical arthritis showing late destructive changes. Such a low sensitivity of clinical examination to detect arthritis in a deep joint was similar to what has been reported for hip joint.[6] These findings indicate the danger associated with dependence on clinical examination in detecting arthritis, particularly in deeper joints such as shoulder joint.
No statistically significant correlation was found between various clinical parameters with any of the JAMRIS score parameters. It could be possible that the above-mentioned parameters reflect disease activity as a whole, while JAMRIS reflects a single joint disease activity status. This lack of correlation between clinical, laboratory, and disease activity parameters with MRI findings has been reported by the other authors, as well.[3,6] Further large-scale studies are required to delineate the exact correlation between JAMRIS and disease activity parameters in JIA.
Magnetic resonance imaging is a sensitive diagnostic tool to pick up changes in inflammation which can be used to assess response to therapy, whereas, in USG, the synovial abnormalities tend to persist even in inactive disease.[24,25] Our study showed more frequency of bone erosions (late changes) than synovial abnormalities (early changes), which could be attributed as the response to ongoing therapy on synovial inflammation and not bone erosions.
There are certain limitations of the study. First, JIA is a conglomerate of different phenotypes; each phenotype behaves differently. Although no significant difference was found in MRI findings while comparing sJIA and other subsets pooled together, the results could not be generalized. Larger studies with adequate sample size of each subset would be required to delineate the MRI findings in each subset. Second, BME can be seen as a normal finding in children due to presence of red marrow as suggested by a study of normal wrists.[26] The presence of other MRI findings along with BME suggested that the BME in our patients could have been pathological. However, it would have been appropriate, if healthy age-matched controls were included in the study for comparison, but could not be done for ethical reasons. Third, BME could also be observed in sJIA as a part of systemic inflammation. The present study revealed that only two joints in sJIA patients had BME alone on MRI, and the rest had associated effusion or other MRI findings. Thus, it can be inferred that BME in sJIA patients was most likely due to joint inflammation. Moreover, the frequency of BME was not statistically significant between sJIA and the rest of the subsets. It is possible that, since all patients of sJIA were receiving steroids, this could have led to a decrease in BME due to systemic inflammation. Future prospective MRI studies in children with sJIA, divided into two groups (with or without prednisolone) would be required to delineate the effect of steroids on BME.
In conclusion, the present study demonstrates that JAMRIS system is reliable and reproducible for detecting shoulder joint arthritis in patients with JIA with a sensitivity of clinical examination of 25.9% and an NPV of 20% only.
Citation: Sudhakar M, Deswal S, Sachdev N, Pal S, Yadav TP. The reliability of Juvenile Arthritis Magnetic Resonance Imaging Scoring System in the evaluation of the shoulder joint in juvenile idiopathic arthritis. Arch Rheumatol 2022;37(4):547-558.
The study protocol was approved by the Atal Bihari Vajpayee Institute of Medical Sciences and Dr. Ram Manohar Lohia Hospital Ethics Committee (date: 2014, no: 1-40/62/2014). The study was conducted in accordance with the principles of the Declaration of Helsinki.
A written informed consent was obtained from the parents and/or legal guardians of the patients.
Data Sharing Statement:
The data that support the findings of this study are available from the corresponding author upon reasonable request.
Data collection, data analysis, writing of initial draft of manuscript, editing and revision of manuscript at all stages of its production, review of literature: M.S.; Evaluation and management of the patient, follow up of the patient, data analysis, editing and approval of the manuscript: S.D.; Protocol for MRI assessment, data collection, data analysis, intellectual input editing of manuscript evaluation: N.S.; Management and follow up of the patient,data analysis, intellectual input , editing of manuscript: S.P.; Inception of idea, Data analysis, evaluation, management and follow up of the patient and editing of manuscript, critical revision of the manuscript at all stages of production and final approval, guarantor of paper: T.P.Y.
The authors declared no conflicts of interest with respect to the authorship and/or publication of this article.
The authors received no financial support for the research and/or authorship of this article.
We acknowledge the statistical analysis done by Mrs. Parul Chugh, statistician.
References
- Dabrowski W, Fonseka N, Ansell BM, Liyanage IS, Arden GP. Shoulder problems in juvenile chronic polyarthritis. Scand J Rheumatol 1979;8:49-53. DOI: 10.1080/03009747909105334
- Hemke R, Nusman CM, van der Heijde DM, Doria AS, Kuijpers TW, Maas M, et al. Frequency of joint involvement in juvenile idiopathic arthritis during a 5-year follow-up of newly diagnosed patients: Implications for MR imaging as outcome measure. Rheumatol Int 2015;35:351-7. DOI: 10.1007/s00296-014-3108-x
- Hemke R, van Rossum MA, van Veenendaal M, Terra MP, Deurloo EE, de Jonge MC, et al. Reliability and responsiveness of the Juvenile Arthritis MRI Scoring (JAMRIS) system for the knee. Eur Radiol 2013;23:1075-83. DOI: 10.1007/s00330-012-2684-y
- Hemke R, Maas M, van Veenendaal M, Dolman KM, van Rossum MA, van den Berg JM, et al. Contrast-enhanced MRI compared with the physical examination in the evaluation of disease activity in juvenile idiopathic arthritis. Eur Radiol 2014;24:327-34. DOI: 10.1007/s00330-013-3036-2
- Miller E, Uleryk E, Doria AS. Evidence-based outcomes of studies addressing diagnostic accuracy of MRI of juvenile idiopathic arthritis. AJR Am J Roentgenol 2009;192:1209-18. DOI: 10.2214/AJR.08.2304
- Nistala K, Babar J, Johnson K, Campbell-Stokes P, Foster K, Ryder C, et al. Clinical assessment and core outcome variables are poor predictors of hip arthritis diagnosed by MRI in juvenile idiopathic arthritis. Rheumatology (Oxford) 2007;46:699-702. DOI: 10.1093/rheumatology/kel401
- Rodríguez-Henríquez P, Solano C, Peña A, LeónHernández S, Hernández-Díaz C, Gutiérrez M, et al. Sternoclavicular joint involvement in rheumatoid arthritis: Clinical and ultrasound findings of a neglected joint. Arthritis Care Res (Hoboken) 2013;65:1177-82. DOI: 10.1002/acr.21958
- Vilca I, Munitis PG, Pistorio A, Ravelli A, Buoncompagni A, Bica B, et al. Predictors of poor response to methotrexate in polyarticular-course juvenile idiopathic arthritis: Analysis of the PRINTO methotrexate trial. Ann Rheum Dis 2010;69:1479-83. DOI: 10.1136/ard.2009.120840
- Albers HM, Wessels JA, van der Straaten RJ, Brinkman DM, Suijlekom-Smit LW, Kamphuis SS, et al. Time to treatment as an important factor for the response to methotrexate in juvenile idiopathic arthritis. Arthritis Rheum 2009;61:46-51. DOI: 10.1002/art.24087
- Gylys-Morin VM, Graham TB, Blebea JS, Dardzinski BJ, Laor T, Johnson ND, et al. Knee in early juvenile rheumatoid arthritis: MR imaging findings. Radiology 2001;220:696-706. DOI: 10.1148/radiol.2203000461
- Østergaard M, Peterfy C, Conaghan P, McQueen F, Bird P, Ejbjerg B, et al. OMERACT rheumatoid arthritis magnetic resonance imaging studies. Core set of MRI acquisitions, joint pathology definitions, and the OMERACT RA-MRI scoring system. J Rheumatol 2003;30:1385-6.
- Malattia C, Damasio MB, Pistorio A, Ioseliani M, Vilca I, Valle M, et al. Development and preliminary validation of a paediatric-targeted MRI scoring system for the assessment of disease activity and damage in juvenile idiopathic arthritis. Ann Rheum Dis 2011;70:440-6. DOI: 10.1136/ard.2009.126862
- Petty RE, Southwood TR, Manners P, Baum J, Glass DN, Goldenberg J, et al. International league of associations for rheumatology classification of juvenile idiopathic arthritis: Second revision, Edmonton, 2001. J Rheumatol 2004;31:390-2.
- Wallace CA, Ruperto N, Giannini E; Childhood Arthritis and Rheumatology Research Alliance; Pediatric Rheumatology International Trials Organization; Pediatric Rheumatology Collaborative Study Group. Preliminary criteria for clinical remission for select categories of juvenile idiopathic arthritis. J Rheumatol 2004;31:2290-4.
- Kieft GJ, Dijkmans BA, Bloem JL, Kroon HM. Magnetic resonance imaging of the shoulder in patients with rheumatoid arthritis. Ann Rheum Dis 1990;49:7-11. DOI: 10.1136/ard.49.1.7
- Koos B, Twilt M, Kyank U, Fischer-Brandies H, Gassling V, Tzaribachev N. Reliability of clinical symptoms in diagnosing temporomandibular joint arthritis in juvenile idiopathic arthritis. J Rheumatol 2014;41:1871-7. DOI: 10.3899/jrheum.131337
- Guzmán J, Burgos-Vargas R, Duarte-Salazar C, Gómez-Mora P. Reliability of the articular examination in children with juvenile rheumatoid arthritis: Interobserver agreement and sources of disagreement. J Rheumatol 1995;22:2331-6.
- Verbruggen LA, Shahabpour M, Van Roy P, Osteaux M. Magnetic resonance imaging of articular destruction in juvenile rheumatoid arthritis. Arthritis Rheum 1990;33:1426-30. DOI: 10.1002/art.1780330916
- Hermann KG, Backhaus M, Schneider U, Labs K, Loreck D, Zühlsdorf S, et al. Rheumatoid arthritis of the shoulder joint: Comparison of conventional radiography, ultrasound, and dynamic contrastenhanced magnetic resonance imaging. Arthritis Rheum 2003;48:3338-49. DOI: 10.1002/art.11349
- Malattia C, Damasio MB, Magnaguagno F, Pistorio A, Valle M, Martinoli C, et al. Magnetic resonance imaging, ultrasonography, and conventional radiography in the assessment of bone erosions in juvenile idiopathic arthritis. Arthritis Rheum 2008;59:1764-72. DOI: 10.1002/art.24313
- Nandi M, Ganguli SK, Mondal R, Ghosh A. Clinicoserological profile of juvenile idiopathic arthritis. Indian Pediatr 2009;46:640-1.
- Singh S, Salaria M, Kumar L, Minz R, Datta U, Sehgal S. Clinico-immunological profile of juvenile rheumatoid arthritis at Chandigarh. Indian Pediatr 1999;36:449-54.
- Sircar D, Ghosh B, Ghosh A, Haldar S. Juvenile idiopathic arthritis. Indian Pediatr 2006;43:429-33.
- Magni-Manzoni S, Scirè CA, Ravelli A, Klersy C, Rossi S, Muratore V, et al. Ultrasound-detected synovial abnormalities are frequent in clinically inactive juvenile idiopathic arthritis, but do not predict a flare of synovitis. Ann Rheum Dis 2013;72:223-8. DOI: 10.1136/annrheumdis-2011-201264
- Damasio MB, de Horatio LT, Boavida P, Lambot-Juhan K, Rosendahl K, Tomà P, et al. Imaging in Juvenile Idiopathic Arthritis (JIA): An update with particular emphasis on MRI. Acta Radiol 2013;54:1015-23. DOI: 10.1177/0284185113493777
- Müller LS, Avenarius D, Damasio B, Eldevik OP, Malattia C, Lambot-Juhan K, et al. The paediatric wrist revisited: Redefining MR findings in healthy children. Ann Rheum Dis 2011;70:605-10. DOI: 10.1136/ard.2010.135244