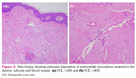
Primary localized nodular cutaneous amyloidosis (PLCNA) is the rarest form of cutaneous amyloidosis caused by immunoglobulin light-chain amyloid protein deposition in the dermis, subcutis, and blood vessels.[1] A 49-year-old Caucasian woman, affected by a form of undifferentiated connective tissue disease since the age of 22 years, presented to our clinic with a two-month history of ulcerated nodule of the scalp. Although the patient complained daily Raynaud’s phenomenon, puffy hands, xerophthalmia and xerostomia, she was not receiving any pharmacological treatment. Clinical examination revealed a 20-mm painful, ulcerated, and crusted alopecic nodule in the vertex. The nodule was orange-pink in color and firm in consistence. Two satellite lesions were noticed at the periphery. Dermoscopy revealed short ectatic vessels and shiny whitish fibrotic areas on a yellow-orange background. Histology showed an extensive deposition of eosinophilic amorphous material in the dermis, subcutis, and blood vessels. Focal areas of calcification, rare plasma cells, and neovascularization within the dermis were observed. At polarized microscope, Congo red staining revealed apple green birefringence indicating amyloid protein deposition. The patient had anemia (hemoglobin 9.9 g/dL) and mild increase of erythrocyte sedimentation rate (23 mm/h). C-reactive protein, complement (C3, C4 and CH50), and blood urea nitrogen levels were within the normal range, as well as urinalysis and 24-h urine testing for creatinine clearance and protein excretion. Serum and protein electrophoresis and urinary BenceJones protein were negative for monoclonal components. Complete metabolic panel and liver function tests were within the normal range. Serum antinuclear antibodies (ANA) were present at title of 1/1280 (centromeric pattern), as well as anti-double-stranded deoxyribonucleic acid (anti-dsDNA) (41 UI/mL). Among anti-extractable nuclear antigen, antiSSA (Ro60 and Ro52), and anti-SSB were positive, at title of 1/1375, 1/1685 and 1/154 respectively. Capillaroscopy showed elongated loops and pericapillary edema. A salivary gland biopsy excluded Sjögren syndrome and amyloidosis deposits. Calcinosis, Raynaud phenomenon, esophageal dysmotility, sclerodactyly, and telangiectasia (CREST) syndrome was also ruled out, as there was no evidence of esophageal dysmotility, sclerodactyly, and cutaneous telangiectasias. Total body computed tomography scan and laboratory results excluded systemic manifestations of amyloidosis. A concomitant diagnosis of systemic erythematosus lupus was finally made. The nodules were treated with electrodessication and cryosurgery; however, four months later, the primary lesion relapsed. The patient underwent radical surgical excision and full-thickness skin graft. Meanwhile, she was treated with hydroxychloroquine 200 mg twice/day and a four-month systemic corticosteroid course (prednisone 1 mg/kg/day). No clinical and dermoscopic relapse was detectable at two years of follow-up, after a maintenance treatment with hydroxychloroquine 200 mg a day. A written informed consent was obtained from the patient.
Primary localized nodular cutaneous amyloidosis is the rarest form of primary localized cutaneous amyloidosis, accounting for 1.5% of all cases, and differentiates fromthe other forms (lichen amyloidosis and macular amyloidosis), since amyloid deposits are not cytokeratin-derived, but originate from immunoglobulin light chains produced by dermal plasma cell infiltrates.[1,2] In general, PLCNA presents as waxy, skin-colored or orange nodules, usually located on the acral extremities.[3] In case of scalp involvement, the differential diagnosis may include cutaneous metastasis, non-melanoma skin cancer, Merkel cell carcinoma, and primary cutaneous B-cell lymphoma.[2] It also shares dermoscopic features of granulomatous disorders including orange background and teleangectasic vessels. Reddish structureless and whitish area and ulcerations were also reported.[4]
Different reports have described that PLCNA is frequently associated with autoimmune disease, particularly Sjögren syndrome. A plasma cell dyscrasia, possibly elicited by autoimmune disease, may induce the local production and deposition of immunoglobulin light chains. Although most PLCNA cases are limited to the skin, progression to systemic disease has been reported and clinical monitoring may be recommended.[5] Cryosurgery, electrodessication, carbon dioxide and pulsed-dye, as well as surgical excision laser have been employed, although relapse is not rare.[1]
