Kikuchi-Fujimoto disease (KFD) is a rare lymphohistiocytic disorder of unknown etiology. KFD was first described in 1972 as a case series in form of benign necrotizing lymphadenitis with distinctive histologic findings.[1] The most common clinical features in KFD is prolonged fever and cervical lymphadenopathy which is in most cases unilateral and painful.[2-4]
Kikuchi-Fujimoto disease has a worldwide distribution with a higher prevalence among Asian people.[5,6] The first pediatric case of KFD was reported in 1990, which was followed by many studies reporting considerable number of children with KFD.[3,7]
Diagnosis of KFD depends upon presence of appropriate histopathology of the lymph node (LN), which typically shows paracortical well-circumscribed necrotic lesions consisting of karyorrhexis, fibrin deposits, abundant CD68 plasmacytoid monocytes and infiltration of histiocytes in absence of plasma cells or neutrophils.[2-5]
We report eleven children with KFD in a period of 10 years. They presented with prolonged fever, lymphadenopathy and variable clinical presentations.
The medical charts of patients who were below 16 years of age and admitted between 2007 and 2016 with a suspected diagnosis of KFD were included. All the clinical manifestations, laboratory results and the histopathology of the excised LNs were reviewed.
A total of 11 patients with histopathological impression of KFD were found. Patient’s data are summarized in Table 1. Recurrence of KFD was observed in two patients after one-two years from the first episode. All patients were followed in pediatric clinic for at least 18 months, and no patient developed certain rheumatic diseases.
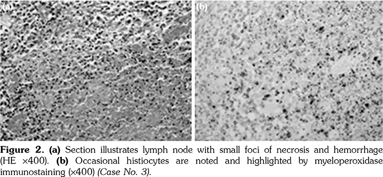
The excised cervical LNs of the 11 patients showed variable degrees of necrotizing lymphadenitis with foci of necrosis surrounded by histiocytes that are positive for CD68 and myeloperoxidase. The histopathology of the excised LN for patients numbered 2, 3, and 7 is illustrated in Figures 1, 2 and 3, respectively.
The literature has proposed autoimmune and infectious causes as triggers for KFD initiation; however, this speculation has not been confirmed. Still, autoimmune manifestations have been widely reported in KFD presentation, and in some cases, KFD preceded clinical manifestation of systemic lupus erythematosus (SLE), which raised the proposal that KFD may reflect autoimmune conditions like SLE that may be induced by virus-infected transformed lymphocytes.[1,6,8,9]
A comparison of our patients data with other studies discussed in the literature (Table 2) revealed that the overall clinical and laboratory results are similar. Fever was the main presenting sign in our study as well as in other studies; however, Lin et al.[10] reported fever in only 50% of patients with KFD (Table 2).[7,11]
Cervical lymphadenopathy was the predominant LN in our cases like other pediatric cases reported with KFD (Table 2). The cell death process in KFD has been proposed by some as apoptosis because of the nuclear fragments seen within and surrounding the typical area of necrosis in the affected LNs; that is consistent with the typical feature of early apoptosis.[12] Moreover, CD8+T lymphocytes undergo apoptosis within the necrotized lesion in the affected LNs.[12,13] Monocyte and macrophage cell lines have been suggested to promote the histiocyte-dependent CD8+T cell death.[14]
The most common autoimmune disease associated with KFD is SLE. In a large meta- analysis of the literature which included 244 patients with KFD, Thirteen percent of the patients were noticed to have clinical features of KFD and SLE. Furthermore, SLE manifestations preceded KFD in some patients, or presented after KFD or the two diseases presented simultaneously. SLE- associated KFD has been reported more in the Asian than European patients.[9] We followed-up our patients for a duration of two to five years during which none developed signs of SLE or other connective tissue disorders.
